Artikel ini direview oleh: drg. Destri Shofura Gusliana
Plak dan karang gigi adalah masalah umum yang sering dialami oleh banyak orang, tetapi tidak semua orang menyadari bagaimana keduanya terbentuk dan dampak buruknya bagi kesehatan gigi dan mulut. Plak dan karang gigi dapat memengaruhi kebersihan gigi dan berisiko menyebabkan berbagai masalah kesehatan mulut lainnya.
Untuk itu, penting untuk memahami apa itu plak dan karang gigi, bagaimana keduanya terbentuk, serta apa yang bisa dilakukan untuk mencegahnya. Berikut penjelasannya!
Apa Itu Plak dan Karang Gigi?
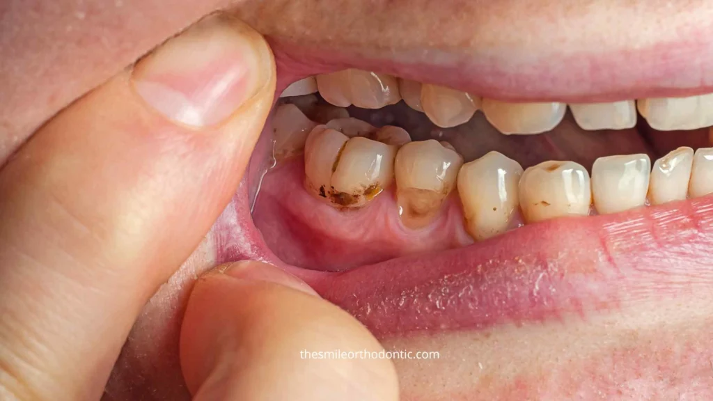
Plak gigi adalah lapisan tipis yang terbentuk di permukaan gigi akibat penumpukan sisa makanan, bakteri, dan air liur. Plak ini cenderung berwarna transparan atau kekuningan, dan biasanya sulit terlihat dengan mata telanjang. Jika tidak dibersihkan, plak dapat mengeras dan berubah menjadi karang gigi, yang lebih keras dan sulit dihilangkan hanya dengan menyikat gigi.
Karang gigi terbentuk ketika plak yang menempel pada gigi mengeras seiring waktu. Proses pengkristalan ini terjadi karena mineral dari air liur yang bercampur dengan plak. Karang gigi biasanya berwarna kuning atau coklat, dan jika dibiarkan, karang gigi dapat menyebabkan kerusakan gigi lebih lanjut, seperti gigi berlubang dan penyakit gusi.
Proses Terbentuknya Karang Gigi
Karang gigi terbentuk melalui beberapa tahap. Awalnya, plak terbentuk pada gigi beberapa jam setelah makan. Jika plak ini tidak dibersihkan, dalam waktu sekitar 24 hingga 72 jam, mineral dalam air liur mulai mengendap di dalam plak, membuatnya mengeras menjadi karang gigi.
Proses ini berlangsung perlahan, tetapi semakin lama dibiarkan, semakin sulit untuk membersihkan karang gigi hanya dengan sikat gigi biasa. Setelah karang gigi terbentuk, perawatan dari dokter gigi diperlukan untuk menghilangkannya.
7 Penyebab Plak dan Karang Gigi
Berikut ini beberapa penyebab plak dan karang gigi yang perlu dipahami:
Kebiasaan Makan yang Tidak Sehat
Makanan yang tinggi gula dan karbohidrat merupakan penyebab utama terbentuknya plak. Gula dan karbohidrat mudah diubah oleh bakteri dalam mulut menjadi asam, yang kemudian menyerang enamel gigi dan memicu pembentukan plak.
Kurangnya Rutin Menyikat Gigi
Tidak menyikat gigi secara teratur memungkinkan plak menumpuk di gigi. Idealnya, gigi harus disikat dua kali sehari, pagi setelah sarapan dan malam sebelum tidur, untuk menghilangkan plak yang terbentuk sepanjang hari.
Tidak Menggunakan Benang Gigi
Sisa makanan dan bakteri dapat terperangkap di sela-sela gigi yang sulit dijangkau oleh sikat gigi. Jika tidak dibersihkan dengan benang gigi, sisa-sisa ini akan berkontribusi pada pembentukan plak, yang akhirnya mengeras menjadi karang gigi.
Merokok
Merokok dapat meningkatkan produksi plak di mulut. Selain itu, bahan kimia dalam rokok juga dapat mengubah kualitas air liur, membuatnya lebih mudah terbentuknya plak dan karang gigi.
Kekurangan Air Liur
Air liur memiliki fungsi alami dalam membersihkan mulut dari sisa makanan dan bakteri. Kekurangan air liur, yang sering terjadi pada orang yang mengalami dehidrasi atau mengonsumsi obat-obatan tertentu, dapat menyebabkan plak lebih mudah terbentuk.
Penyakit Gusi
Penyakit gusi, seperti gingivitis, dapat menyebabkan pembengkakan dan perdarahan gusi. Ini meningkatkan penumpukan plak pada gigi dan gusi, yang jika dibiarkan, akan mengeras menjadi karang gigi.
Pola Hidup yang Tidak Sehat
Pola hidup yang tidak sehat, seperti kurang tidur, stres, dan pola makan yang buruk, dapat memengaruhi sistem kekebalan tubuh dan meningkatkan kerentanannya terhadap penyakit gigi, yang dapat menyebabkan penumpukan plak dan karang gigi.
Dampak Buruk Plak dan Karang Gigi Jika Dibiarkan
Jika plak dan karang gigi tidak dibersihkan dengan baik, mereka dapat menyebabkan berbagai masalah kesehatan gigi dan mulut. Menurut riset, berikut di antaranya:
Gigi Berlubang
Plak yang tidak dibersihkan dapat mengarah pada pembentukan asam yang merusak enamel gigi dan menyebabkan gigi berlubang.
Penyakit Gusi
Plak yang menumpuk di sepanjang garis gusi dapat menyebabkan peradangan, yang berkembang menjadi penyakit gusi lebih serius seperti gingivitis atau periodontitis.
Bau Mulut
Plak dan karang gigi dapat menyebabkan bau mulut yang tidak sedap karena penumpukan bakteri di dalam mulut.
Kerusakan Struktur Gigi
Karang gigi yang dibiarkan menumpuk dalam jangka panjang dapat merusak struktur gigi dan menyebabkan gigi rontok.
5 Tips Mencegah Plak dan Karang Gigi
Agar kamu tidak mengalami plak dan karang gigi, berikut beberapa tips mencegahnya:
Sikat Gigi Secara Teratur
Menyikat gigi dua kali sehari, pagi dan malam, adalah langkah pertama dalam mencegah penumpukan plak. Gunakan pasta gigi yang mengandung fluoride untuk melindungi gigi dari kerusakan.
Gunakan Benang Gigi
Jangan lupa untuk menggunakan benang gigi setelah makan. Benang gigi dapat membersihkan sela-sela gigi yang sulit dijangkau sikat gigi, mencegah penumpukan plak.
Konsumsi Makanan Sehat
Kurangi konsumsi makanan manis dan lebih banyak makan buah dan sayuran. Makanan yang kaya serat dapat membantu membersihkan gigi secara alami dan merangsang produksi air liur.
Minum Air Putih
Pastikan anak dan keluarga kamu minum banyak air putih setiap hari. Air membantu menjaga kelembapan mulut dan mengurangi penumpukan plak.
Rutin ke Dokter Gigi
Selain menjaga kebersihan gigi di rumah, lakukan pemeriksaan gigi secara rutin ke dokter gigi minimal setiap enam bulan sekali. Pemeriksaan rutin dapat mendeteksi masalah gigi sejak dini dan mencegah pembentukan karang gigi yang berbahaya.
Rekomendasi Klinik Gigi untuk Scaling di BSD

Jika kamu mencari klinik gigi yang dapat menangani masalah plak dan karang gigi dengan profesionalisme dan fasilitas modern, The Smile Orthodontic BSD adalah pilihan yang tepat. Di klinik kami tidak hanya menawarkan layanan ortodonti untuk merapikan gigi, tetapi juga perawatan umum seperti scaling dan dental spa serta perawatan saluran akar. Dengan dokter gigi yang berpengalaman dan suasana klinik yang nyaman, kamu dapat mempercayakan kesehatan gigi dan keluarga pada The Smile Orthodontic BSD.
Referensi
- Cleveland Clinic. (2023, 10 Mei). Dental plaque: What is it & how to remove from teeth. Diakses 15 Januari 2026, dari https://my.clevelandclinic.org/health/diseases/10953-plaque
- Cleveland Clinic. (2023, 19 Juni). Tartar on teeth (dental calculus): Causes & removal. Diakses 15 Januari 2026, dari https://my.clevelandclinic.org/health/diseases/25102-tartar
- Broadbent, J. M., Thomson, W. M., Boyens, J. V., & Poulton, R. (2011). Dental plaque and oral health during the first 32 years of life. The Journal of the American Dental Association, 142(4), 415–426. Diakses 15 Januari 2026, dari https://pubmed.ncbi.nlm.nih.gov/21454848/
- Burtka, A. T. (2025, 22 Februari). Dental plaque. WebMD. Diakses 15 Januari 2026, dari https://www.webmd.com/oral-health/plaque-and-your-teeth#1-3

